Kompozitni ispuni (bele plombe)


Pri izradi ispuna od kompozitnog materijala (bele plombe) koristimo najsavremenije materijale i tehnike izrade.
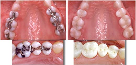
Srebrni amalgamski ispuni (crne plombe) su dugo godina bili standard u stomatologiji, ali zadnjih godina su gotovo u potpunosti izbačeni iz uporabe. Zamenjeni su estetski boljim i biokompatibilnijim kompozitnim materijalom (u boji zuba, bele plombe) koji se hemijski i mehanički veže za zubne strukture.
Postupak izrade kompozitnog ispuna je znatno osetljiviji od amalgamskog i zahtjeva strpljenje, vreme i veštinu doktora dentalne medicine.
Kompozitni materijali se koriste za:
male i srednje ispune (plombe)
zamenu dotrajalih amalgamskih ispuna
nadomeštanje puknutih delova zuba
korekciju oblika zuba
korekciju boje zuba

